Radiant Journeys
Showcasing the remarkable transformation of smiles through before-and-after imagery. Each photo captures the journey from hesitation to confidence, illustrating how a renewed smile can enhance not only appearance but also self-esteem and overall well-being. This gallery celebrates the power of transformation, highlighting the joy and confidence a radiant smile can bring.
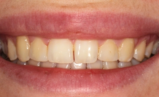
Direct Resin Veneers
This offers a highly customizable way to transform your smile with precision and subtlety. Through carefully layered composite materials, your dentist can enhance harmony, brighten your teeth, refine edges, improve alignment, and correct small imperfections—all in a single appointment.
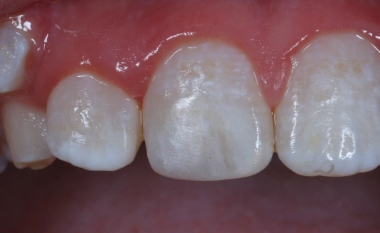
Porcelain Veneers
This patient wanted to refresh her smile after years with her previous veneers. We first corrected her deep bite using quick, easy clear aligners, then explored design options together — size, shape, color, texture, and translucency. Her vision was clear: restored length that matched her lower lip line, soft rounded contours, no translucency, and minimal texture. That’s exactly what we created, and she’s truly ecstatic with her new smile.
Composite filling
Sometimes, a small, well-done composite filling can make the biggest difference for a smile. Fillings do not have to stand out and be one shade that does not match the rest of the tooth. Here, we blended colors, translucencies, stains, and composite types to create a custom piece of artwork for a restoration.
Incisal Edge Enhancement
This patient did not want a massive change. She wanted a subtle change with a massive impact on her ability to confidently smile. Sometimes, all it takes is regenerating what you naturally had with non-invasive composite resin.
Ceramic Crowns
If you want the ultimate control over your smile- colour, shape, proportion, alignment and aesthetics, ceramic
restorations are the best way to get the smile you want, all while keeping the appearance as natural as possible. These beautiful, long lasting restorations were placed, reinforcing the teeth, removing decay and giving this patient the smile they had always wanted.
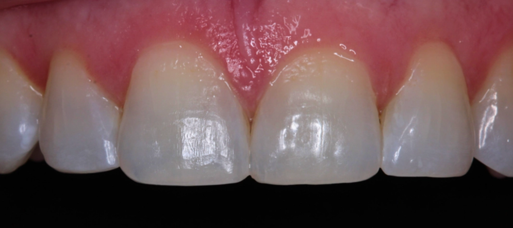
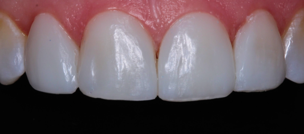
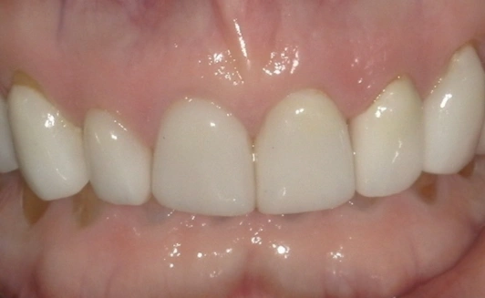
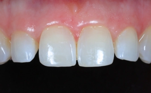
Direct Resin Veneers
She wanted a refreshed smile after years with her old veneers. We corrected her deep bite with clear aligners, then created veneers that matched her goals: restored length, soft, rounded shapes, no translucency, and minimal texture. She’s thrilled with the result.
How We Can Help Your Smile
Same Day Crowns
Teeth chipping, cracking, discoloring, and decaying can all be caused by a lifetime of stress on teeth. Crowns are the perfect solution.
Learn More About Cerec Crowns
Clear Aligners
Using 3D computer imaging, a smile can be straightened using SureSmile and not metal braces. Patients have no food restrictions.
Learn More About Clear Aligners
Dental Implant
A dental implant is the most stable and comfortable solution when someone needs to replace a single tooth or several teeth completely.
Learn More About Implant Restorations
Sleep Apnea Treatment
Treat sleep apnea comfortably with custom oral appliances. Improve rest, reduce risks, and enjoy better health without expert care.
Learn More About Sleep Apnea
Dental Cleanings
Maintain healthy smiles with expert exams and cleanings. Prevent decay and gum disease with regular care tailored to your unique needs.
Learn More about Dental Cleanings
Teeth Whitening
Brighten your smile with safe whitening treatments. Choose in-office or take-home options for stunning, fast results tailored to you.
Learn More About Teeth Whitening
Next-Gen Dentures
Discover durable dentures offering stability and comfort. Implant-supported options ensure long-lasting solutions for tooth replacement.
Learn More About Dentures
Veneers
The most common product used in television smile makeovers is a thin strip of porcelain custom-designed to fit on the front of a tooth.
Learn More About Veneers
